• EI
  • Scopus
  • 中国科技期刊卓越行动计划项目资助期刊
  • 北大核心期刊
  • DOAJ
  • EBSCO
  • 中国核心学术期刊RCCSE A+
  • 中国精品科技期刊
  • JST China
  • FSTA
  • 中国农林核心期刊
  • 中国科技核心期刊CSTPCD
  • CA
  • WJCI
  • 食品科学与工程领域高质量科技期刊分级目录第一方阵T1
中国精品科技期刊2020
刘秋梅,王泽富,刘振洋,等. 加热过程中虾头蛋白变性程度的表征方法比较[J]. 宝威体育平台,2022,43(21):107−114. doi: 10.13386/j.issn1002-0306.2022020069.
引用本文: 刘秋梅,王泽富,刘振洋,等. 加热过程中虾头蛋白变性程度的表征方法比较[J]. 宝威体育平台,2022,43(21):107−114. doi: 10.13386/j.issn1002-0306.2022020069.
LIU Qiumei, WANG Zefu, LIU Zhenyang, et al. Comparison of Characterization Methods for Denaturation Degree of Shrimp Head Protein during Heating[J]. Science and Technology of Food Industry, 2022, 43(21): 107−114. (in Chinese with English abstract). doi: 10.13386/j.issn1002-0306.2022020069.
Citation: LIU Qiumei, WANG Zefu, LIU Zhenyang, et al. Comparison of Characterization Methods for Denaturation Degree of Shrimp Head Protein during Heating[J]. Science and Technology of Food Industry, 2022, 43(21): 107−114. (in Chinese with English abstract). doi: 10.13386/j.issn1002-0306.2022020069.

加热过程中虾头蛋白变性程度的表征方法比较

Comparison of Characterization Methods for Denaturation Degree of Shrimp Head Protein during Heating

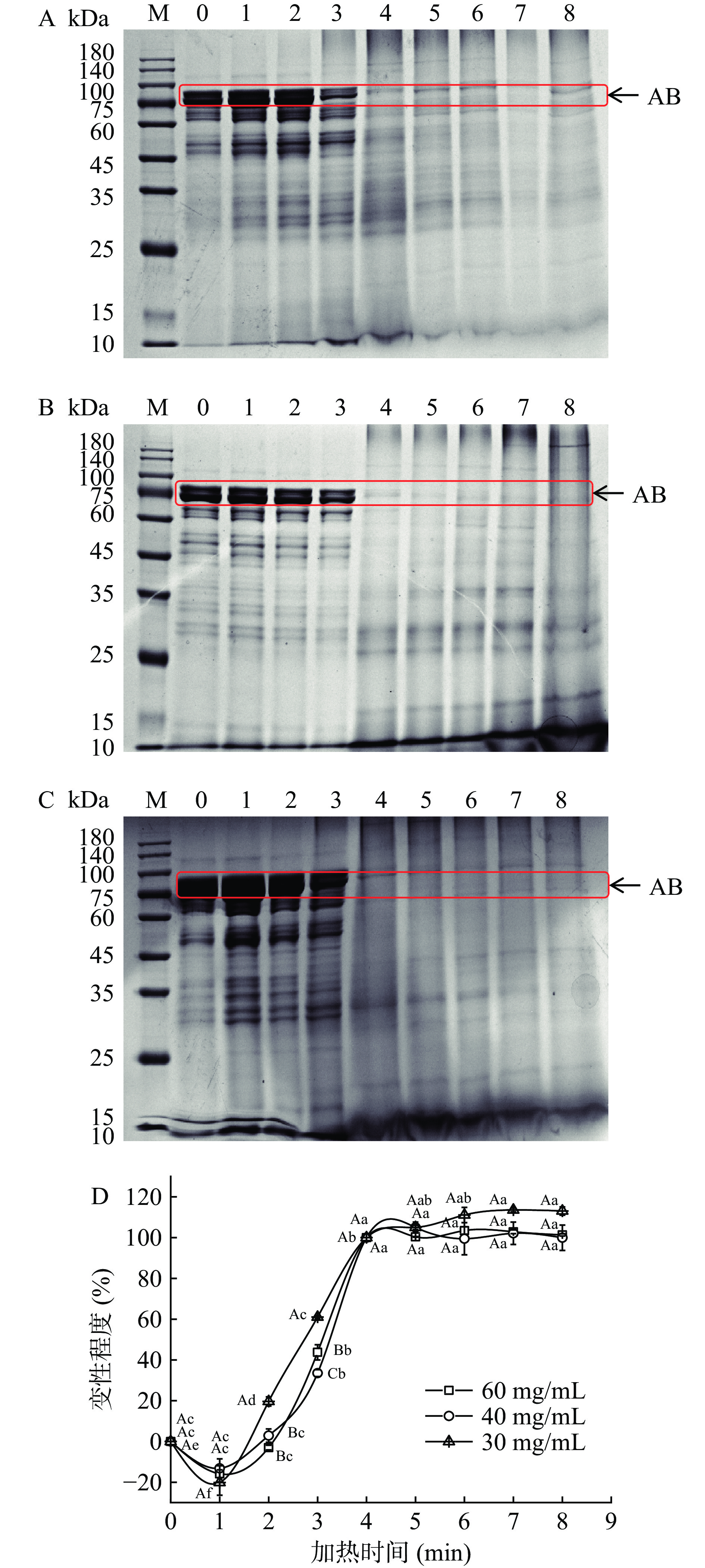
  • 摘要: 为选择适合虾头蛋白变性程度的表征方法,本研究以虾头中提取的混合蛋白为材料,在100 ℃下加热处理一定时间,通过溶解度法、SDS-PAGE法、圆二色谱法、荧光光谱法等定量表征蛋白质变性程度并比较。研究结果表明:溶解度法、SDS-PAGE法、圆二色谱法、荧光光谱法在表征加热过程中虾头蛋白变性程度上具有一致性,不同浓度的虾头蛋白在加热过程中变性程度都呈S型上升趋势,但在加热1~4 min之间变性速率存在差异,其中蛋白溶解度的变性程度对加热时间的灵敏度最为显著。这表明选择溶解度作为表征虾头蛋白变性程度的方法更加便捷。研究结果为食品加工过程中表征蛋白变性程度提供了方法参考。

     

    Abstract: In order to select the suitable characterization method for the denaturation degree of shrimp head protein, the mixed protein extracted from shrimp head was heated at 100 ℃ for a certain time. The denaturation degree of protein was characterized and compared by solubility method, SDS-PAGE method, circular dichroism and fluorescence spectrum. The results showed that solubility method, SDS-PAGE method, circular dichroism and fluorescence spectroscopy were consistent in characterizing the denaturation degree of shrimp head protein during heating. The denaturation degree of shrimp head protein with different concentrations showed an S-shaped upward trend during heating, but there was a difference in denaturation rate between heating 1~4 min. Among them, the denaturation degree of protein solubility was the most sensitive to heating time. This showed that solubility was more convenient to choose as a method to characterize the denaturation degree of shrimp head protein. The results provide a method reference for characterizing the degree of protein denaturation in food processing.

     

/

返回文章
返回