• EI
  • Scopus
  • 中国科技期刊卓越行动计划项目资助期刊
  • 北大核心期刊
  • DOAJ
  • EBSCO
  • 中国核心学术期刊RCCSE A+
  • 中国精品科技期刊
  • JST China
  • FSTA
  • 中国农林核心期刊
  • 中国科技核心期刊CSTPCD
  • CA
  • WJCI
  • 食品科学与工程领域高质量科技期刊分级目录第一方阵T1
中国精品科技期刊2020
张帅军,唐月梅,张大鼎,等. 刺梨果粉缓解过度训练大鼠骨骼肌氧化应激损伤效果的研究[J]. 宝威体育平台,2022,43(12):338−346. doi: 10.13386/j.issn1002-0306.2021090352.
引用本文: 张帅军,唐月梅,张大鼎,等. 刺梨果粉缓解过度训练大鼠骨骼肌氧化应激损伤效果的研究[J]. 宝威体育平台,2022,43(12):338−346. doi: 10.13386/j.issn1002-0306.2021090352.
ZHANG Shuaijun, TANG Yuemei, ZHANG Dading, et al. Effect of Rosa roxburghii Tratt Powder on Alleviating Oxidative Stress Injury of Skeletal Muscle in Overtrained Rat[J]. Science and Technology of Food Industry, 2022, 43(12): 338−346. (in Chinese with English abstract). doi: 10.13386/j.issn1002-0306.2021090352.
Citation: ZHANG Shuaijun, TANG Yuemei, ZHANG Dading, et al. Effect of Rosa roxburghii Tratt Powder on Alleviating Oxidative Stress Injury of Skeletal Muscle in Overtrained Rat[J]. Science and Technology of Food Industry, 2022, 43(12): 338−346. (in Chinese with English abstract). doi: 10.13386/j.issn1002-0306.2021090352.

刺梨果粉缓解过度训练大鼠骨骼肌氧化应激损伤效果的研究

Effect of Rosa roxburghii Tratt Powder on Alleviating Oxidative Stress Injury of Skeletal Muscle in Overtrained Rat

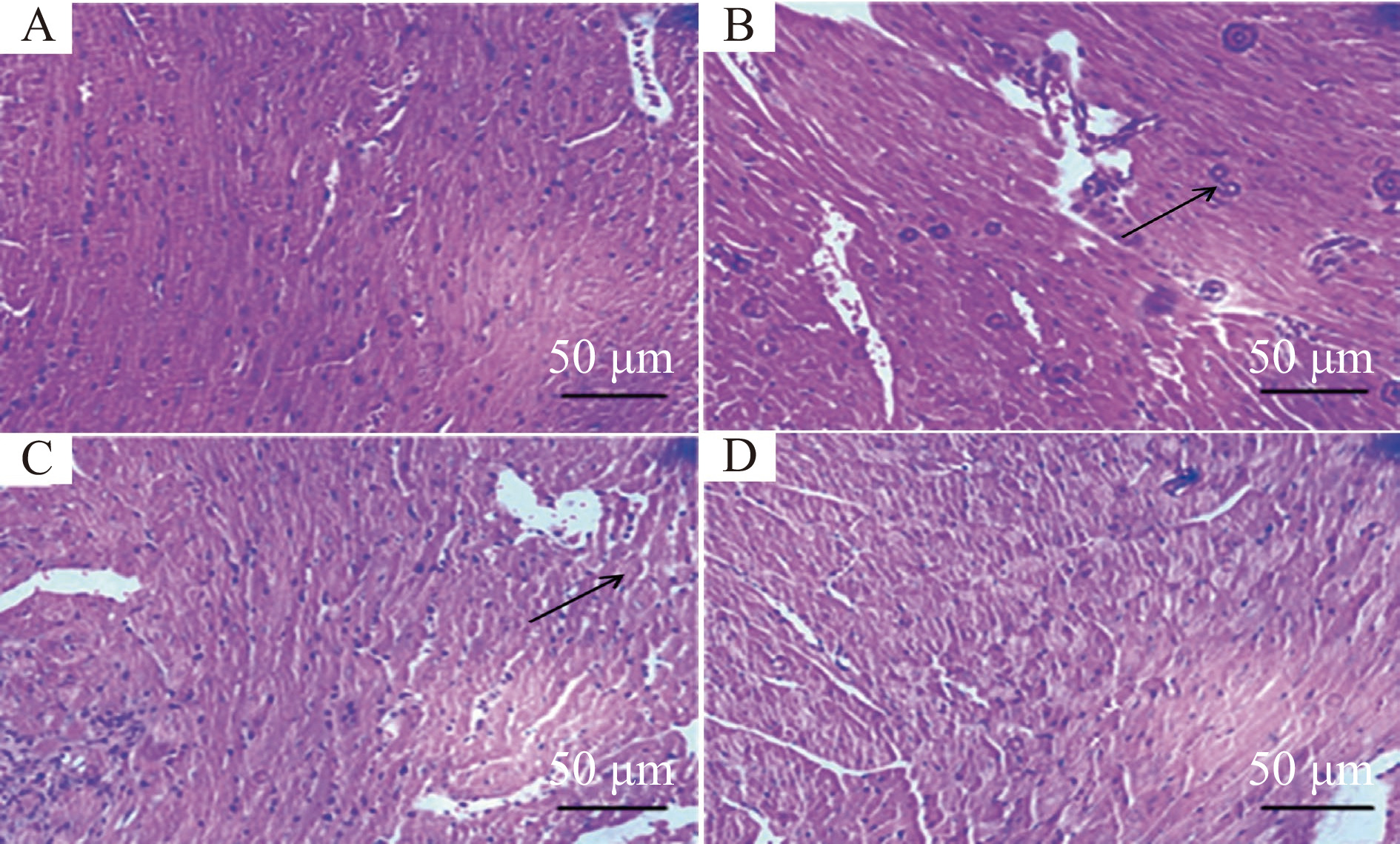
  • 摘要: 目的:以跑台递增负荷运动建立过度训练大鼠模型,探究不同浓度的刺梨果粉对过度训练大鼠骨骼肌抗氧化应激损伤效果的影响。方法:实验分为对照组(C组)、运动组(HT组)、低浓度刺梨果粉+运动组(L-HT组)、高浓度刺梨果粉+运动组(H-HT组)。HT、L-HT、H-HT组分别进行6周递增负荷的跑台训练。训练期间L-HT、H-HT组分别以20、50 mg/mL的刺梨果粉溶液灌胃,剂量为20 mL·kg−1·d−1,C组和HT组采用相同剂量的生理盐水灌胃。末次训练24 h取材,测定血清肌酸激酶(CK)活性、白细胞介素-1β(IL-1β)和肿瘤坏死因子-α(TNF-α)含量;测定骨骼肌组织超氧化物歧化酶(SOD)活性、丙二醛(MDA)和谷胱甘肽(GSH)的含量;测定骨骼肌组织核因子E2相关因子2(Nrf2)、血红素氧化酶-1(HO-1)、B细胞淋巴瘤因子-2(Bcl-2)、Bcl-2相关X蛋白(Bax)的蛋白表达。结果:与HT组相比L-HT组CK活性下降(P<0.05),SOD活性升高(P<0.05),IL-1β、TNF-α、MDA含量降低(P<0.05),GSH浓度上升(P<0.05),Nrf2、HO-1、Bcl-2蛋白表达升高(P<0.05),Bax蛋白表达降低(P<0.05);H-HT组CK活性下降(P<0.01),SOD活性升高(P<0.01),IL-1β、TNF-α、MDA含量降低(P<0.01),GSH浓度上升(P<0.01),Nrf2、HO-1、Bcl-2蛋白表达升高(P<0.01),Bax蛋白表达降低(P<0.01)。与L-HT组相比,H-HT组CK活性下降(P<0.05),SOD活性升高(P<0.05),IL-1β、TNF-α、MDA含量降低(P<0.05),Nrf2、HO-1、Bcl-2蛋白表达升高(P<0.05),Bax蛋白表达降低(P<0.05)。结论:刺梨果粉对大鼠过度训练引起的氧化应激损伤具有较好的保护作用,且在一定的范围内,抗氧化应激损伤与刺梨果粉的剂量之间呈现量效关系。

     

    Abstract: Objective: To explore the effects of different concentrations of Rosa roxburghii Tratt powder on antioxidant stress injury of skeletal muscle in overtrained rats. Methods: The rats were divided into the control group (C group), exercise group (HT group), low concentration Rosa roxburghii Tratt powder exercise group (L-HT group) and high concentration Rosa roxburghii Tratt powder exercise group (H-HT group). HT, L-HT and H-HT groups underwent treadmill training with increasing load for 6 weeks, respectively. During the training, L-HT group and H-HT group were intragastrically administered with 20 and 50 mg/mL Rosa roxburghii Tratt powder solution at the dose of 20 mL·kg−1·d−1, respectively. Group C and HT were given the same dose of saline. The samples collected 24 hours after last training were used to measure serum creatine kinase (CK), interleukin -1β (IL-1β) and tumor necrosis factor-α (TNF-α). The activities of superoxide dismutase (SOD) and the contents of malondialdehyde (MDA) and glutathione (GSH) in skeletal muscle were determined. The expressions of nuclear factor erythroid 2-related factor 2 (Nrf2), heme oxygenase-1(HO-1), B cell lymphoma factor-2 (Bcl-2) and Bcl-2-related X protein(Bax) in skeletal muscle was detected. Results: Compared with the HT group, the activity of CK decreased (P<0.05), the activity of SOD increased (P<0.05), the contents of IL-1β, TNF-α and MDA decreased (P<0.05), the concentration of GSH increased (P<0.05), the expressions of Nrf2, HO-1 and Bcl-2 proteins increased (P<0.05), and the expression of Bax protein decreased in L-HT group (P<0.05). The activity of CK decreased (P<0.01), the activity of SOD increased (P<0.01), the contents of IL-1β, TNF-α and MDA decreased (P<0.01), the concentration of GSH increased (P<0.01), the expressions of Nrf2, HO-1 and Bcl-2 proteins increased (P<0.01), and the expression of Bax protein decreased in H-HT group (P<0.01). Compared with the L-HT group, the activity of CK decreased (P<0.05), the activity of SOD increased (P<0.05), the contents of IL-1β, TNF-α and MDA decreased (P<0.05), the expression of Nrf-2, HO-1 and Bcl-2 protein increased (P<0.05), and the expression of Bax protein decreased in H-HT group (P<0.05). Conclusion: Rosa roxburghii Tratt powder had a good protective effect on oxidative stress injury induced by overtraining in rats, and there was a dose-response relationship between the dosage of Rosa roxburghii Tratt powder and antioxidative stress injury in a certain range.

     

/

返回文章
返回