• EI
  • Scopus
  • 中国科技期刊卓越行动计划项目资助期刊
  • 北大核心期刊
  • DOAJ
  • EBSCO
  • 中国核心学术期刊RCCSE A+
  • 中国精品科技期刊
  • JST China
  • FSTA
  • 中国农林核心期刊
  • 中国科技核心期刊CSTPCD
  • CA
  • WJCI
  • 食品科学与工程领域高质量科技期刊分级目录第一方阵T1
中国精品科技期刊2020
王艳阳,边明明,康媛媛,等. 嗜酸乳杆菌表层蛋白提取方法的对比[J]. 宝威体育平台,2021,42(17):107−112. doi: 10.13386/j.issn1002-0306.2020110162.
引用本文: 王艳阳,边明明,康媛媛,等. 嗜酸乳杆菌表层蛋白提取方法的对比[J]. 宝威体育平台,2021,42(17):107−112. doi: 10.13386/j.issn1002-0306.2020110162.
WANG Yanyang, BIAN Mingming, KANG Yuanyuan, et al. Comparative of Surface Layer Proteins Extraction Methods for Lactobacillus [J]. Science and Technology of Food Industry, 2021, 42(17): 107−112. (in Chinese with English abstract). doi: 10.13386/j.issn1002-0306.2020110162.
Citation: WANG Yanyang, BIAN Mingming, KANG Yuanyuan, et al. Comparative of Surface Layer Proteins Extraction Methods for Lactobacillus [J]. Science and Technology of Food Industry, 2021, 42(17): 107−112. (in Chinese with English abstract). doi: 10.13386/j.issn1002-0306.2020110162.

嗜酸乳杆菌表层蛋白提取方法的对比

Comparative of Surface Layer Proteins Extraction Methods for Lactobacillus

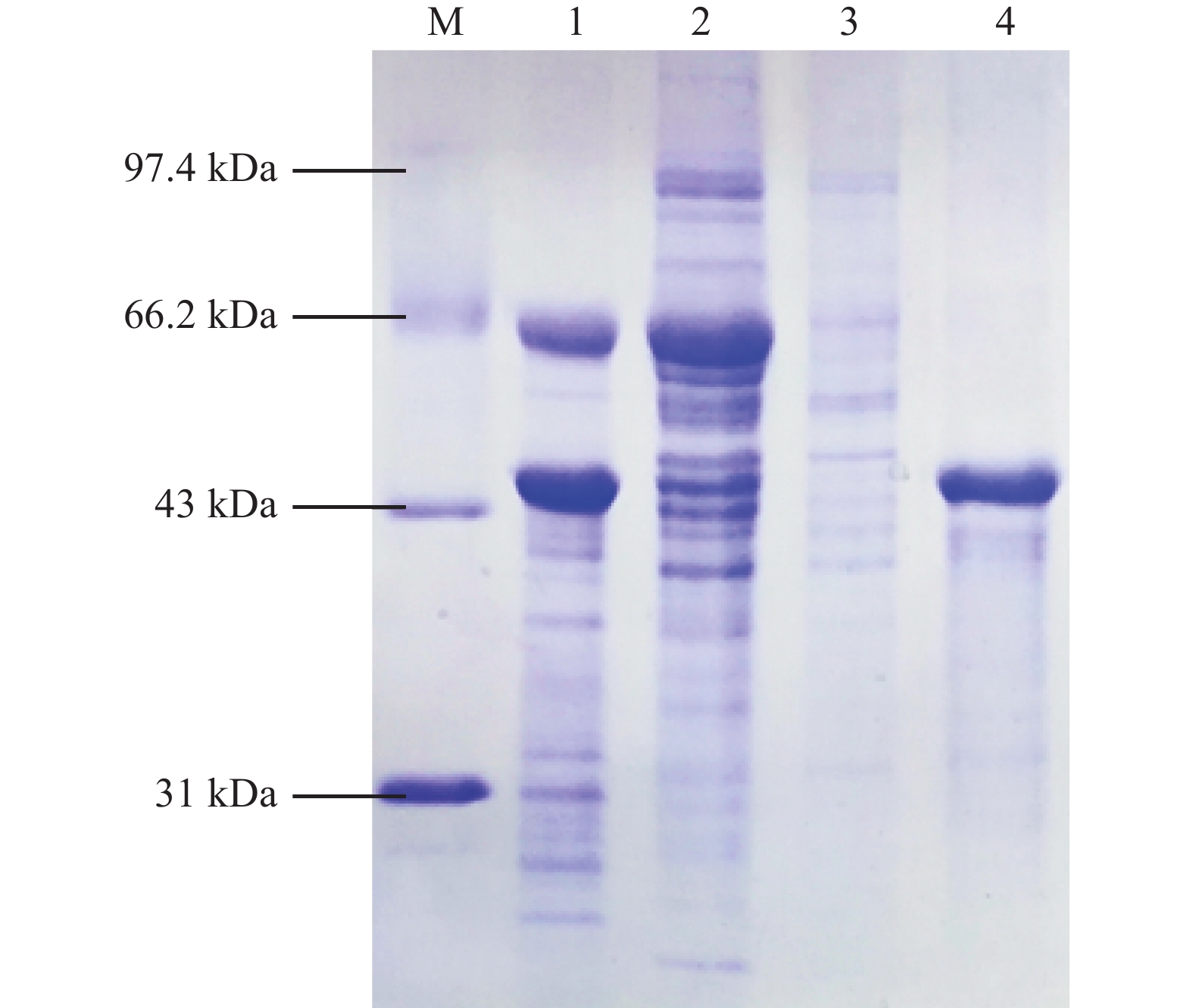
  • 摘要: 本文通过电泳比较了5 mol/L LiCl法、4 mol/L盐酸胍法、8 mol/L尿素法和5 mol/L LiCl结合1 mol/L LiCl法提取嗜酸乳杆菌JCM 1132表层粗蛋白方法,并进一步研究了不同提取方法对乳杆菌表面特性的影响。结果表明:两种不同浓度的LiCl法是提取表层蛋白的最适方法,该方法提取可得到纯度较高的表层蛋白。且用该方法剥离表层蛋白后,菌体的存活率最高,约为99.27%。不同方法去除表层蛋白后,菌体的表面电荷、表面疏水性、自聚集能力以及与沙门氏菌的共聚集能力均有所降低。表明表层蛋白对嗜酸乳杆菌表面性质起关键性作用,对乳杆菌益生功能的积极影响。

     

    Abstract: In this paper, SDS-PAGE had determined the best dissociating agent for extracting surface layer proteins from Lactobacillus acidophilus JCM 1132 in the 5 mol/L LiCl, 4 mol/L guanidine hydrochloride, 8 mol/L urea, 5 mol/L LiCl combined with 1 mol/L LiCl. The effect of different treatment methods on the surface characteristics of Lactobacillus was further studied. The results shoeed that two different concentrations of LiCl was the chosen as the best dissociating agent for extracting surface layer proteins, and this method could extract high purity surface layer proteins. And after using this method to remove the surface layer proteins, the survival rate of the L. acidophilus was the highest, about 99.27%. The surface charge, surface hydrophobicity, self-aggregation and co-aggregation with Salmonella were all reduced after the removal of the surface layer proteins by different methods. It showed that surface layer proteins played a key role in the surface properties of L. acidophilus and positively influence the probiotic function of the bacterium.

     

/

返回文章
返回